Artrite e artrosi sono tra le più diffuse malattie articolari: due condizioni che condividono alcuni sintomi ma differiscono per causa, evoluzione e trattamento. Con il termine artrite si intende un gruppo di malattie infiammatorie delle articolazioni: può avere origine autoimmune, infettiva o essere legata ad altre malattie sistemiche. Una delle forme più studiate è l’artrite reumatoide, che si manifesta con infiammazione persistente, dolore e gonfiore e può colpire più articolazioni in modo simmetrico: in Italia si stima che l’artrite reumatoide colpisca circa 400mila persone. Al contrario l’artrosi è una malattia degenerativa, caratterizzata dall’usura della cartilagine articolare, alterazioni della struttura ossea sottocartilaginea e cambiamenti delle cellule articolari. ù
È la forma più comune di malattia articolare: i principali fattori di rischio sono l’età, il sovrappeso, il sovraccarico articolare, traumi pregressi, predisposizioni genetiche. “Quando una persona arriva con dolore a un’articolazione questo si definisce un’artralgia, quindi un semplice dolore; se c’è un’articolazione degenerata parleremo di artrosi, mentre se è infiammata parleremo di artrite. Sono dolori di tipo molto diverso: quello dell’artrosi peggiora con l’uso e il carico dell’articolazione, quello dell’artrite con l’inattività”, ha dichiarato Carlo Selmi, responsabile dell’unità operativa di Reumatologia e Immunologia clinica presso l’ospedale Humanitas di Rozzano, intervistato da Marco Klinger per Medicina Top, format tv dell’agenzia di stampa Italpress.
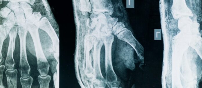
La riflessione di Selmi si sofferma su due aspetti: riconoscimento della malattia e fattori di rischio. “La diagnosi di artrosi si fa tuttora con la semplice radiografia; il consumo di cartilagine di uno dei due capi ossei porta un avvicinamento delle due ossa all’interno dell’articolazione e si ha l’artrite reumatoide, che può essere intercettata prima e trattata con efficacia. La prima localizzazione tipica dell’artrosi è la schiena: se facciamo una radiografia della colonna lombare o cervicale a chiunque abbia più di cinquant’anni troveremo segni di artrosi in tutti, ma per fortuna non tutti ne soffrono; dopo la localizzazione della colonna si passa alle mani. I fattori di rischio più importanti sono per l’artrosi familiarità, genere femminile, età avanzata e sovrappeso, indipendentemente dalla localizzazione; per l’artrite reumatoide familiarità, genere femminile e fumo di sigaretta; per l’artrite psoriasica la presenza di psoriasi”.
I temi affrontati in seguito sono il rapporto con l’attività sportiva e le terapie. Il primo, spiega Selmi, nel caso dell’artrosi è “piuttosto particolare. Correre non causa l’artrosi del ginocchio, ma non va raccomandato a chi ne soffre perché la può peggiorare; attività ad alto impatto, come il pugilato, sono un fattore di rischio soprattutto per le mani. Una diagnosi precoce non conta molto per l’artrosi, perché le nostre terapie sono molto meno efficaci: la progressione può essere ridotta con un uso controllato e un controllo del peso corporeo. Nel caso dell’artrite invece una diagnosi precoce garantisce il massimo del risultato con qualsiasi terapia: si parte con farmaci molto classici come i cortisonici, a basso dosaggio ma per un lasso di tempo breve, poi si passa a quelli utilizzati più a lungo termine. L’automedicazione sarebbe un grosso errore: una terapia cortisonica non sarebbe accettabile per una persona giovane, perché il rischio di beneficiare da questo tipo di trattamento è nettamente svantaggioso; bisogna piuttosto rivolgersi a un reumatologo e cercare una terapia adeguata”.
In conclusione, afferma, “per convivere meglio con queste malattie e mantenere un’autonomia bisogna anzitutto intervenire sullo stile di vita: fumo e sovrappeso fanno andare peggio tutte le nostre malattie, dopodiché bisogna scegliere le terapie corrette e assumerle con regolarità. Una malattia sotto controllo nel tempo non progredirà e non porterà alcuna deformità”.


